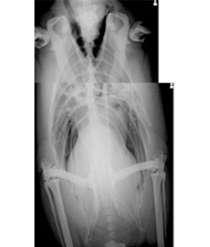
ヒグマクイズ「ヒグマの能力」(2021年8月) 今月のヒグマクイズのテーマは「ヒグマの能力」! 飼育員が考えた特製ヒグマクイズ5問にチャレンジ!すべて3択問題なので、直感で答えてもOK! ※回答後、解説ページへのリンクが表示されます。 クイズをスタート Q1 ヒグマはどれ? 1 2 3 Q2 NKB総選挙で3年連続1位の腹ペコバレリーナは誰? 1.マリン 2.アユミ 3.ベッキー Q3 後肢の骨格で仲間外れはどれ? 1.キツネ 2.ヒト 3.ヒグマ Q4 ヒグマのレントゲン写真はどれ? 1 2 3 Q5 クマの出産時期はいつ? 1.夏 2.秋 3.冬 ヒグマクイズ「ヒグマの能力」 お疲れ様でした! {{maxScore}}問のうち、{{userScore}}問正解です! {{title}} {{image}} {{content}} 結果をシェア Facebook Twitter メール 投稿ナビゲーション ヒグマクイズ「ボス」(2021年7月)ヒグマクイズ「ヒグマの食生活」(2021年9月)